Các bác sĩ Trung tâm Y học hạt nhân và Ung bướu (Bệnh viện Bạch Mai) vừa ghi nhận một trường hợp bệnh nhân ung thư phổi giai đoạn muộn được điều trị bằng thuốc TKIs thế hệ I từ năm 2017 đến nay với thời gian ổn định bệnh kéo dài tới 6 năm.

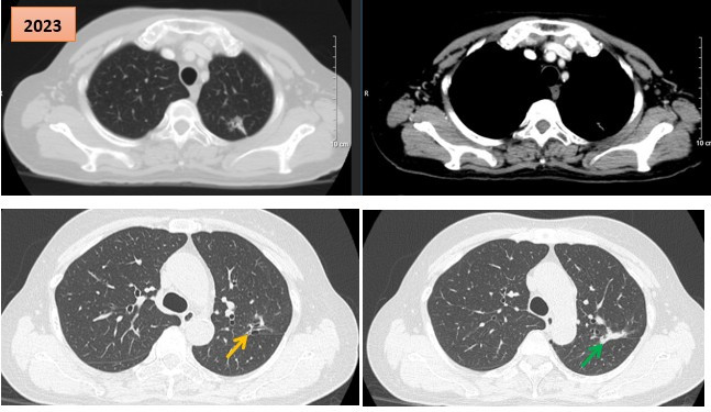
Hình ảnh cắt lớp vi tính theo dõi trong quá trình điều trị, tổn thương xơ hóa tại vị trí u cũ (mũi tên xanh) và giãn khu trú các nhánh phế quản liền kề (mũi tên vàng).
Hiệu quả của thuốc điều trị đích với ung thư phổi
Bệnh nhân nữ, 72 tuổi, nhập viện tháng 6/2017 do đau ngực trái âm ỉ kéo dài, sụt cân khoảng 8kg trong vòng 6 tháng. Đáng chú ý, bệnh nhân không ho, không khó thở trong suốt thời gian này.
Thời điểm nhập viện, bệnh nhân tỉnh táo, không sốt, huyết động ổn định. Thăm khám tim phổi chưa ghi nhận dấu hiệu bất thường rõ ràng. Các xét nghiệm công thức máu, sinh hóa máu trong giới hạn bình thường, chỉ điểm khối u CEA và Cyfra 21-1 không tăng. Điện tâm đồ và siêu âm tim không phát hiện dấu hiệu thiếu máu cơ tim.
Kết quả chụp cắt lớp vi tính (CT) lồng ngực cho thấy khối u thùy trên phổi trái kích thước 20x15mm, bờ tua gai, xâm lấn rãnh liên thùy, kèm theo nhiều nốt mờ rải rác hai phổi, kích thước 5-10mm, phù hợp với tổn thương thứ phát, cùng hạch rốn phổi trái kích thước 10mm.
Sinh thiết xuyên thành ngực tổn thương phổi trái cho kết quả mô bệnh học là ung thư biểu mô tuyến. Xét nghiệm đột biến gene phát hiện đột biến EGFR dạng xóa đoạn exon 19. Các thăm dò bổ sung bằng PET/CT và cộng hưởng từ não không phát hiện thêm tổn thương di căn ngoài phổi.
Bệnh nhân được chẩn đoán ung thư phổi trái không tế bào nhỏ dạng biểu mô tuyến, giai đoạn T4N1M1 (di căn phổi), có đột biến EGFR.
Sau hội chẩn chuyên môn, bệnh nhân được chỉ định điều trị bằng thuốc erlotinib liều 150mg/ngày đường uống.
Sau 6 tháng điều trị, triệu chứng đau ngực giảm rõ rệt, bệnh nhân dung nạp thuốc tốt. Tác dụng phụ chủ yếu là ban da dạng chấm và mụn ở vùng đầu, vùng sinh dục – những biểu hiện thường gặp của thuốc và được đánh giá là dấu hiệu dự báo đáp ứng điều trị tốt. Kết quả chụp CT kiểm tra cho thấy khối u đáp ứng điều trị, chuyển thành tổn thương xơ hóa, giảm ngấm thuốc sau tiêm.
Bệnh nhân tiếp tục được theo dõi và điều trị duy trì bằng erlotinib. Đến thời điểm đánh giá lại vào tháng 5/2023, sau 6 năm điều trị liên tục, bệnh nhân vẫn trong tình trạng ổn định: Không đau ngực, không khó thở, các chỉ điểm khối u CEA và Cyfra 21-1 duy trì trong giới hạn bình thường.
Kết quả chụp CT ngực-bụng và cộng hưởng từ sọ não không ghi nhận thêm tổn thương mới. Tại vị trí u cũ, tổn thương xơ hóa gây co kéo rãnh liên thùy và giãn khu trú các nhánh phế quản lân cận, song không ảnh hưởng đến chức năng hô hấp và không gây triệu chứng lâm sàng.
Theo các bác sĩ, đây là trường hợp đáp ứng kéo dài hiếm gặp với thuốc điều trị đích thế hệ I, cho thấy vai trò bền vững của nhóm thuốc này trong điều trị ung thư phổi không tế bào nhỏ có đột biến EGFR, ngay cả ở giai đoạn muộn.
Các liệu pháp miễn dịch đang phát huy tác dụng trong điều trị các bệnh ung thư
Tại Việt Nam, ung thư phổi phổ biến sau ung thư vú và ung thư gan, hàng năm phát hiện khoảng gần 25 nghìn ca mắc mới ung thư phổi, trong đó có khoảng hơn 22 ngàn ca tử vong mỗi năm. Ung thư phổi thường gặp ở người lớn tuổi từ 55 tuổi trở lên, độ tuổi trung bình mắc bệnh là 70 tuổi, tỷ lệ mắc bệnh và tử vong ở nam giới nhiều hơn nữ giới.
Ung thư phổi đang để lại gánh nặng bệnh tật cho người bệnh và ngành y vì đại đa số các trường hợp ung thư phổi được phát hiện đã ở giai đoạn muộn. Nếu bệnh nhân được phát hiện sớm thì tỷ lệ sống thêm từ 5 năm trở lên lên tới hơn 90%. Tuy nhiên việc sàng lọc, phát hiện, chẩn đoán và điều trị còn không ít thách thức.
Những năm gần đây, điều trị ung thư phổi giai đoạn muộn đã có nhiều bước tiến quan trọng với sự ra đời của các liệu pháp miễn dịch và điều trị đích nhắm vào các đột biến gene như EGFR, ALK, ROS1… Liệu pháp miễn dịch là phương pháp mới, ít tác dụng phụ, hiệu quả cao, kéo dài thời gian sống và nâng cao chất lượng sống cho người bệnh ung thư phổi không tế bào nhỏ, ung thư dạ dày…Liệu pháp miễn dịch giúp tăng cường hệ thống miễn dịch, giúp hệ thống miễn dịch truy vết, tiêu diệt các tế bào ung thư.
Các thuốc điều trị đích ngày càng được ứng dụng rộng rãi trong ung thư phổi ở cả giai đoạn sớm và giai đoạn muộn, góp phần kéo dài thời gian sống cũng như cải thiện đáng kể chất lượng cuộc sống cho người bệnh.
Các thuốc ức chế tyrosine kinase (TKIs) thế hệ I, dù đã được đưa vào sử dụng từ năm 2005, đến nay vẫn giữ vai trò nhất định trong điều trị ung thư phổi không tế bào nhỏ.
https://moh.gov.vn/hoat-dong-cua-dia-phuong/-/asset_publisher/gHbla8vOQDuS/content/thuoc-ieu-tri-ich-giup-benh-nhan-ung-thu-phoi-giai-oan-muon-on-inh-benh-suot-6-nam?inheritRedirect=false&redirect=https%3A%2F%2Fmoh.gov.vn%3A443%2Fhoat-dong-cua-dia-phuong%3Fp_p_id%3D101_INSTANCE_gHbla8vOQDuS%26p_p_lifecycle%3D0%26p_p_state%3Dnormal%26p_p_mode%3Dview%26p_p_col_id%3Drow-3-column-3%26p_p_col_pos%3D1%26p_p_col_count%3D2



